Skip to content Skip to sidebar Skip to footer

Abdominal Aortic Calcification Treatment

Abdominal Aortic Calcification May Signal Future Heart Attack

Abdominal Aortic Calcification May Signal Future Heart Attack

Abdominal aortic calcification treatment. Surgery is the last option for calcified abdominal aorta treatment and is generally used for more severe cases of calcification. However data in non-dialysis chronic kidney disease CKD patients are limited. 71 A large cohort study 72 and meta-analysis 73 have shown that bisphosphonate use is associated with lower cardiovascular events and cardiovascular mortality but.

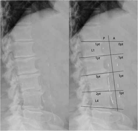
Calcium chloride CaCl2 injury model was used to create local arterial calcification abdominal aortic region in rats. 10 male Sprague-Dawley SD rats 56 weeks old were placed under general anesthesia 2 to 3 isoflurane and the infrarenal abdominal aorta was exposed and treated periadventitially with 020 molL CaCl2by placing CaCl2-soaked sterile cotton gauze on the aorta for. Since the AAC can be quantified easily using a lateral lumbar X-ray we hypothesized that the extent of AAC as assessed on a lateral lumbar X-ray might be predictive of the presence of significant CAD in dialysis patients.

Abdominal aortic aneurysm AAA is the most common true arterial aneurysm. Early methods of abdominal aortic assessment were largely confined to the study of necropsy specimens. In some cases the condition is treated with a combination of medications anticoagulants diet and exercise.

48 years experience Cardiology. This causes the plaque within the aorta to be compressed against the aorta walls. Abdominal aortic calcification AAC has previously been associated with CAD in autopsy studies.

They include-Dietary Changes-It is important to bring about certain changes in the daily intake of food. Plaque build up in the arteries is primarily made up of fatty acids and cholesterol which causes inflammation according to Oregon Surgical Specialists. Additionally doctors may perform an angioplasty to remove blood clots.

In recent years there has been a growing concern that abdominal aortic calcification AAC has a predictive effect on the prognosis of patients with end-stage renal disease ESRD. Treatment is to lower cholesterol diet exercis. 6 Autopsy studies of 600 middle-aged adults in the 1950s reported highly significant positive associations between the degree of abdominal aortic calcification and the presence of calcified plaque in the coronary arteries.

However whether other vascular calcification VC can predict the occurrence of adverse events in patients and whether it is necessary to assess the calcification of other blood vessels remains controversial. Aortic valve sclerosis thickening and stiffness of the valve and mild aortic calcification usually doesnt cause significant heart problems but requires regular checkups to make sure your condition isnt worsening.

Detection Of Abdominal Aortic Calcification By Densitometry

Detection Of Abdominal Aortic Calcification By Densitometry

Abdominal Aortic Calcification May Signal Future Heart Attack Imaging Technology News

Abdominal Aortic Calcification May Signal Future Heart Attack Imaging Technology News

Assessment Of Abdominal Aortic Calcific Deposits By Radiography The Download Scientific Diagram

Assessment Of Abdominal Aortic Calcific Deposits By Radiography The Download Scientific Diagram

Thoracic Aortic Calcification Diagnostic Prognostic And Management Considerations Jacc Cardiovascular Imaging

Thoracic Aortic Calcification Diagnostic Prognostic And Management Considerations Jacc Cardiovascular Imaging

Determination And Validation Of Aortic Calcification Measurement From Lateral Bone Densitometry In Dialysis Patients American Society Of Nephrology

Determination And Validation Of Aortic Calcification Measurement From Lateral Bone Densitometry In Dialysis Patients American Society Of Nephrology

Aortic Calcification And Superior Mesenteric Artery Stenosis Nejm

Aortic Calcification And Superior Mesenteric Artery Stenosis Nejm

Calcification Of The Abdominal Aorta Images From A Download Scientific Diagram

Calcification Of The Abdominal Aorta Images From A Download Scientific Diagram

Determination And Validation Of Aortic Calcification Measurement From Lateral Bone Densitometry In Dialysis Patients American Society Of Nephrology

Determination And Validation Of Aortic Calcification Measurement From Lateral Bone Densitometry In Dialysis Patients American Society Of Nephrology

Abdominal Aortic Calcification A Reappraisal Of Epidemiological And Pathophysiological Data Sciencedirect

Abdominal Aortic Calcification A Reappraisal Of Epidemiological And Pathophysiological Data Sciencedirect

Figure2 Multiple Calcifications In The Abdominal Aorta And Peripheral Download Scientific Diagram

Figure2 Multiple Calcifications In The Abdominal Aorta And Peripheral Download Scientific Diagram

Plain X Ray Abdominal Aortic Aneurysm Showing Faintly Calcified Walls Download Scientific Diagram

Plain X Ray Abdominal Aortic Aneurysm Showing Faintly Calcified Walls Download Scientific Diagram

Calcification Of Abdominal Aorta Is A High Risk Underappreciated Cardiovascular Disease Factor In A General Population Medrxiv

Calcification Of Abdominal Aorta Is A High Risk Underappreciated Cardiovascular Disease Factor In A General Population Medrxiv

Calcified Abdominal Aortic Aneurysm Radiology Case Radiopaedia Org

Calcified Abdominal Aortic Aneurysm Radiology Case Radiopaedia Org

Calcification As A Risk Factor For Rupture Of Abdominal Aortic Aneurysm European Journal Of Vascular And Endovascular Surgery

Calcification As A Risk Factor For Rupture Of Abdominal Aortic Aneurysm European Journal Of Vascular And Endovascular Surgery

Changes In Vascular Calcification And Bone Mineral Density In Calcium Supplement Users From The Canadian Multi Center Osteoporosis Study Camos Atherosclerosis

Changes In Vascular Calcification And Bone Mineral Density In Calcium Supplement Users From The Canadian Multi Center Osteoporosis Study Camos Atherosclerosis

Calcification As A Risk Factor For Rupture Of Abdominal Aortic Aneurysm European Journal Of Vascular And Endovascular Surgery

Calcification As A Risk Factor For Rupture Of Abdominal Aortic Aneurysm European Journal Of Vascular And Endovascular Surgery

Direct Abdominal Aortic Access For Thoracic Endovascular Aortic Repair In A Patient With Severe Aortic And Arterial Calcification Annals Of Vascular Surgery

Direct Abdominal Aortic Access For Thoracic Endovascular Aortic Repair In A Patient With Severe Aortic And Arterial Calcification Annals Of Vascular Surgery

Abdominal Aortic Aneurysm Pictorial Review Of Common Appearances And Complications Kumar Annals Of Translational Medicine

Abdominal Aortic Aneurysm Pictorial Review Of Common Appearances And Complications Kumar Annals Of Translational Medicine

Hybrid Treatment Of An Abdominal Aortic Aneurysm With Severe Calcification Of The Neck And Aortic Bifurcation Annals Of Vascular Surgery

Hybrid Treatment Of An Abdominal Aortic Aneurysm With Severe Calcification Of The Neck And Aortic Bifurcation Annals Of Vascular Surgery

Does Nonenhanced Ct Based Quantification Of Abdominal Aortic Calcification Outperform The Framingham Risk Score In Predicting Cardiovascular Events In Asymptomatic Adults Radiology

Does Nonenhanced Ct Based Quantification Of Abdominal Aortic Calcification Outperform The Framingham Risk Score In Predicting Cardiovascular Events In Asymptomatic Adults Radiology

Abdominal Aortic Calcification As A Marker Of Relationship Between Atherosclerosis And Skeletal Fragility Sciencedirect

Abdominal Aortic Calcification As A Marker Of Relationship Between Atherosclerosis And Skeletal Fragility Sciencedirect

Scielo Brasil Aortic Arch Calcification On Routine Chest Radiography Is Strongly And Independently Associated With Non Dipper Blood Pressure Pattern Aortic Arch Calcification On Routine Chest Radiography Is Strongly And Independently

Scielo Brasil Aortic Arch Calcification On Routine Chest Radiography Is Strongly And Independently Associated With Non Dipper Blood Pressure Pattern Aortic Arch Calcification On Routine Chest Radiography Is Strongly And Independently

Detection Of High Cardiovascular Risk Patients With Ankylosing Spondylitis Based On The Assessment Of Abdominal Aortic Calcium As Compared To Carotid Ultrasound Arthritis Research Therapy Full Text

Detection Of High Cardiovascular Risk Patients With Ankylosing Spondylitis Based On The Assessment Of Abdominal Aortic Calcium As Compared To Carotid Ultrasound Arthritis Research Therapy Full Text

1

1

Abdominal Aortic Aneurysms Aaa Cardiovascular Disorders Msd Manual Professional Edition

Abdominal Aortic Aneurysms Aaa Cardiovascular Disorders Msd Manual Professional Edition

Vascular Calcification Image In Hemodialysis Patients A Abdominal Download Scientific Diagram

Vascular Calcification Image In Hemodialysis Patients A Abdominal Download Scientific Diagram

Abdominal Aortic Calcification On A Plain X Ray And The Relation With Significant Coronary Artery Disease In Asymptomatic Chronic Dialysis Patients Bmc Nephrology Full Text

Abdominal Aortic Calcification On A Plain X Ray And The Relation With Significant Coronary Artery Disease In Asymptomatic Chronic Dialysis Patients Bmc Nephrology Full Text

Endovascular Repair Of Infrarenal Abdominal Aorta Penetrating Atherosclerotic Ulcers Review Of Our Experience Sciencedirect

Endovascular Repair Of Infrarenal Abdominal Aorta Penetrating Atherosclerotic Ulcers Review Of Our Experience Sciencedirect

Abdominal Aortic Aneurysm Radiology Reference Article Radiopaedia Org

Abdominal Aortic Aneurysm Radiology Reference Article Radiopaedia Org

Abdominal Aortic Calcification May Indicate Higher Fracture Risk In Older Women Endocrinology Advisor

Abdominal Aortic Calcification May Indicate Higher Fracture Risk In Older Women Endocrinology Advisor

Abdominal Aortic Aneurysms Aaa Cardiovascular Disorders Msd Manual Professional Edition

Abdominal Aortic Aneurysms Aaa Cardiovascular Disorders Msd Manual Professional Edition

Thoracic Aortic Calcification Across The Clinical Dysglycemic Continuum In A Large Asian Population Free Of Cardiovascular Symptoms

Thoracic Aortic Calcification Across The Clinical Dysglycemic Continuum In A Large Asian Population Free Of Cardiovascular Symptoms

A Targeting Nanotherapy For Abdominal Aortic Aneurysms Journal Of The American College Of Cardiology

A Targeting Nanotherapy For Abdominal Aortic Aneurysms Journal Of The American College Of Cardiology

Abdominal Aortic Calcification Is Superior To Other Arteries Calcification In Predicting The Mortality In Peritoneal Dialysis Patients A 8 Years Cohort Study Bmc Nephrology Full Text

Abdominal Aortic Calcification Is Superior To Other Arteries Calcification In Predicting The Mortality In Peritoneal Dialysis Patients A 8 Years Cohort Study Bmc Nephrology Full Text

Abdominal Aneurysm An Uncommon Cause Of Low Back Pain Reumatologia Clinica

Abdominal Aneurysm An Uncommon Cause Of Low Back Pain Reumatologia Clinica

Abdominal Aortic Calcification May Signal Future Heart Attack

Abdominal Aortic Calcification May Signal Future Heart Attack

Calcification Of Abdominal Aorta Is A High Risk Underappreciated Cardiovascular Disease Factor In A General Population Medrxiv

Calcification Of Abdominal Aorta Is A High Risk Underappreciated Cardiovascular Disease Factor In A General Population Medrxiv

Frontiers S100 Rage Mediated Inflammation And Modified Cholesterol Lipoproteins As Mediators Of Osteoblastic Differentiation Of Vascular Smooth Muscle Cells Cardiovascular Medicine

Frontiers S100 Rage Mediated Inflammation And Modified Cholesterol Lipoproteins As Mediators Of Osteoblastic Differentiation Of Vascular Smooth Muscle Cells Cardiovascular Medicine

Calcification Of The Aorta And Common Iliac Arteries Nejm

Calcification Of The Aorta And Common Iliac Arteries Nejm

Abdominal Aortic Branch Occlusion Heart And Blood Vessel Disorders Merck Manuals Consumer Version

Abdominal Aortic Branch Occlusion Heart And Blood Vessel Disorders Merck Manuals Consumer Version

Ultrasound Of Abdomen Showing Calcified Aorta Download Scientific Diagram

Ultrasound Of Abdomen Showing Calcified Aorta Download Scientific Diagram

Cureus Mycotic Abdominal Aortic Aneurysm Caused By Streptococcus Equi

Cureus Mycotic Abdominal Aortic Aneurysm Caused By Streptococcus Equi

Vascular Abdominal Aorta Imaging Pearls Educational Tools Ct Scanning Ct Imaging Ct Scan Protocols Ctisus

Vascular Abdominal Aorta Imaging Pearls Educational Tools Ct Scanning Ct Imaging Ct Scan Protocols Ctisus

Radiologia Brasileira Tratamento Endovascular De Rotura De Aorta Abdominal Pos Litotripsia Percutanea

Radiologia Brasileira Tratamento Endovascular De Rotura De Aorta Abdominal Pos Litotripsia Percutanea

Does Calcium Supplementation Affect Risk For Abdominal Aortic Calcification Endocrinology Advisor

Does Calcium Supplementation Affect Risk For Abdominal Aortic Calcification Endocrinology Advisor

Monitoring The Biological Activity Of Abdominal Aortic Aneurysms Beyond Ultrasound Heart

Monitoring The Biological Activity Of Abdominal Aortic Aneurysms Beyond Ultrasound Heart

Ijms Free Full Text Effect Of Cyclic Stretch On Vascular Endothelial Cells And Abdominal Aortic Aneurysm Aaa Role In The Inflammatory Response Html

Ijms Free Full Text Effect Of Cyclic Stretch On Vascular Endothelial Cells And Abdominal Aortic Aneurysm Aaa Role In The Inflammatory Response Html

Abdominal Aortic Aneurysm Wikipedia

Abdominal Aortic Aneurysm Wikipedia

1

1

Abdominal aortic calcification AAC has previously been associated with CAD in autopsy studies.

The associations between aortic calcification disc degeneration and back pain were tested using logistic regression with adjustment for age and sex. In patients on haemodialysis etidronate was shown to inhibit and reverse progression of AAC 70 whereas it decreased abdominal aortic wall thickness on magnetic resonance imaging MRI in patients with hypercholesterolaemia. 71 A large cohort study 72 and meta-analysis 73 have shown that bisphosphonate use is associated with lower cardiovascular events and cardiovascular mortality but. In some cases the condition is treated with a combination of medications anticoagulants diet and exercise. Additionally doctors may perform an angioplasty to remove blood clots. It seemed of interest to determine whether in addition to the calcification of the abdominal portion of the aorta the arch of the aorta was likewise involved in this process. In seven cases upon whom teleoroentgenographic studies were made of the chest in only one instance was calcification of the aortic arch observed. DEFINITIONS AND AORTOILIAC ANATOMY. 4 abdominal aortic calcification patients report moderate anxious mood 30 4 abdominal aortic calcification patients report mild anxious mood 30 2 abdominal aortic calcification patients report no anxious mood 15 What people are taking for it.


They include-Dietary Changes-It is important to bring about certain changes in the daily intake of food. Aortic calcification is a valuable marker as its presence and degree have been associated with the extent and severity of coronary artery calcification and disease absence of abdominal aortic calcification has a high negative predictive value to rule out coronary artery disease CV events peripheral artery disease in patients with type 2 diabetes mellitus stroke risk of fractures and all. In some cases the condition is treated with a combination of medications anticoagulants diet and exercise. 6 Autopsy studies of 600 middle-aged adults in the 1950s reported highly significant positive associations between the degree of abdominal aortic calcification and the presence of calcified plaque in the coronary arteries. At the baseline examination aortic calcification was significantly associated with general disc degeneration that is disc space narrowing or endplate sclerosis at any lumbar level odds ratio 16. DEFINITIONS AND AORTOILIAC ANATOMY. They include-Dietary Changes-It is important to bring about certain changes in the daily intake of food.

Post a Comment for "Abdominal Aortic Calcification Treatment"