Skip to content Skip to sidebar Skip to footer

Reticulonodular Interstitial Lung Disease

Chest Radiograph Increased Reticulonodular Interstitial Opacities Download Scientific Diagram

Chest Radiograph Increased Reticulonodular Interstitial Opacities Download Scientific Diagram

Reticulonodular interstitial lung disease. IFN-α seems to show promise in management of this condition but needs to. More common in males and infants of diabetic mothers. Most common in premature infants.

The inflammation and scarring make it hard to get enough oxygen. ECD is a rare multisystemic disease. Interstitial lung disease is the name for a large group of diseases that inflame or scar the lungs.

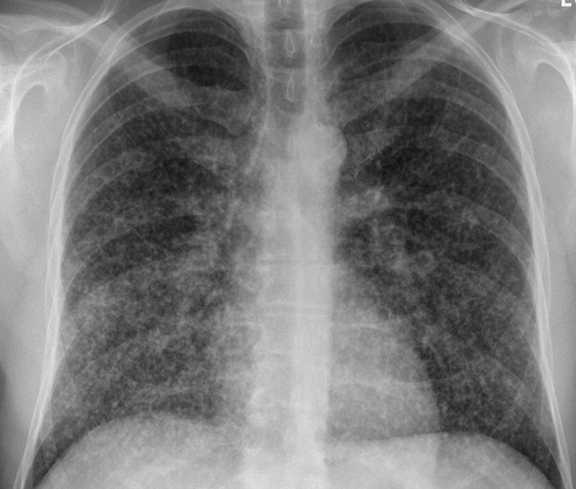
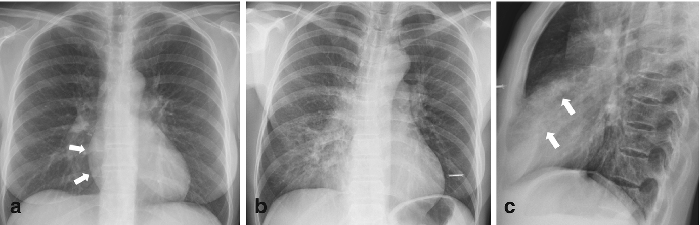
CXR PA and Lateral shows bilateral and extensive reticular nodular changes slightly more prominent in the upper lung zones. A reticulonodular interstitial pattern is an imaging descriptive term that can be used in thoracic radiographs or CT scans when are there is an overlap of reticular shadows with nodular shadows. LANGERHANS HISTIOCYTOSIS RETICULONODULAR PATTERN 53-year-old female with nicotine dependence presents with dyspnea and cough.

Diagnosis is frequently delayed and prognosis is usually poor. Respiratory Bronchiolitis-Associated Interstitial Lung Disease. The reticular pattern consists of a network of linear densities Fig.

This may be used to describe a regional pattern or a diffuse pattern throughout the lungs. While this is a relatively common appearance on a chest radiograph very few diseases are confirmed to show this pattern pathologically. A reticulonodular interstitial pattern is an imaging descriptive term that can be used in thoracic radiographs or CT scans when are there is an overlap of reticular shadows with nodular shadows.

Reticulogranular ground-glass abnormalities increased attenuation of the lung tissue without distortion of the underlying blood vessels or bronchi are absent or minimal in IPF. It should be considered in patients with interstitial lung disease with bony involvement. The lung architecture is distorted in patients with moderate or severe disease burden with reduced lung volume and traction bronchiectasis especially at the lung bases.

Click to see full answer. This may be used to describe a regional pattern or a diffuse pattern throughout the lungs.

Lung Field Abnormalities Interstitial Disease A Reticulonodular Pattern Results From A Combination Of Reticular And No

Lung Field Abnormalities Interstitial Disease A Reticulonodular Pattern Results From A Combination Of Reticular And No

Initial Chest X Ray Showing Reticulonodular Pattern With Midzone Download Scientific Diagram

Initial Chest X Ray Showing Reticulonodular Pattern With Midzone Download Scientific Diagram

Diffuse Reticulonodular Shadows Chest

Diffuse Reticulonodular Shadows Chest

4 Diffuse Reticular Or Reticulonodular Pattern

4 Diffuse Reticular Or Reticulonodular Pattern

How To Interpret A Chest X Ray Lesson 7 Diffuse Lung Processes Youtube

How To Interpret A Chest X Ray Lesson 7 Diffuse Lung Processes Youtube

Chest Radiograph Showing Diffuse Reticulonodular Infiltrates In The Download Scientific Diagram

Chest Radiograph Showing Diffuse Reticulonodular Infiltrates In The Download Scientific Diagram

4 Diffuse Reticular Or Reticulonodular Pattern

4 Diffuse Reticular Or Reticulonodular Pattern

Reticulonodular Interstitial Pattern Radiology Reference Article Radiopaedia Org

Reticulonodular Interstitial Pattern Radiology Reference Article Radiopaedia Org

Interstitial Lung Disease Clinical Gate

Interstitial Lung Disease Clinical Gate

Interstitial Lung Disease Radiology Key

Interstitial Lung Disease Radiology Key

Review Of Lung Radiographic Findings During Treatment Of Patients With Chronic Paracoccidioidomycosis

Review Of Lung Radiographic Findings During Treatment Of Patients With Chronic Paracoccidioidomycosis

Image Of Sarcoidosis Lung Parenchymal Disease

Image Of Sarcoidosis Lung Parenchymal Disease

Chest X Ray Shows Bilateral Reticulonodular Infiltration In Both Lungs Download Scientific Diagram

Chest X Ray Shows Bilateral Reticulonodular Infiltration In Both Lungs Download Scientific Diagram

Patterns Of Lung Disease Springerlink

Patterns Of Lung Disease Springerlink

Interstitial Lung Disease Ild Mike Mc Farlane Ct

Interstitial Lung Disease Ild Mike Mc Farlane Ct

Ppt Pracical Aproach To Interstitial Lung Diseases Powerpoint Presentation Id 1273898

Ppt Pracical Aproach To Interstitial Lung Diseases Powerpoint Presentation Id 1273898

Figure 6 From Challenges In Pulmonary Fibrosis 3 Cystic Lung Disease Semantic Scholar

Figure 6 From Challenges In Pulmonary Fibrosis 3 Cystic Lung Disease Semantic Scholar

Review Of Lung Radiographic Findings During Treatment Of Patients With Chronic Paracoccidioidomycosis

Review Of Lung Radiographic Findings During Treatment Of Patients With Chronic Paracoccidioidomycosis

Interstitial Lung Disease Radiology Key

Interstitial Lung Disease Radiology Key

Interstitial Vs Alveolar Lung Patterns Wikiradiography

Interstitial Vs Alveolar Lung Patterns Wikiradiography

4 Diffuse Reticular Or Reticulonodular Pattern

4 Diffuse Reticular Or Reticulonodular Pattern

Imaging Lung Manifestations Of Hiv Aids

Imaging Lung Manifestations Of Hiv Aids

Imaging Of Childhood Interstitial Lung Disease Abstract Europe Pmc

Imaging Of Childhood Interstitial Lung Disease Abstract Europe Pmc

Https Encrypted Tbn0 Gstatic Com Images Q Tbn And9gcrwiogqn0snrxod8pf5slz1gt Dx8m0 Ey1hlkjaf3ulf5fh7tk Usqp Cau

Https Encrypted Tbn0 Gstatic Com Images Q Tbn And9gcrwiogqn0snrxod8pf5slz1gt Dx8m0 Ey1hlkjaf3ulf5fh7tk Usqp Cau

References In Chest Radiographic Evaluation Of Diffuse Infiltrative Lung Disease Review Of A Dying Art European Journal Of Radiology

References In Chest Radiographic Evaluation Of Diffuse Infiltrative Lung Disease Review Of A Dying Art European Journal Of Radiology

Interstitial Vs Alveolar Lung Patterns Lunges Thorax Pattern

Interstitial Vs Alveolar Lung Patterns Lunges Thorax Pattern

Radiologia Brasileira Cartas Ao Editor

Radiologia Brasileira Cartas Ao Editor

Interstitial Lung Disease Chest Radiology The Essentials 2nd Edition

Interstitial Lung Disease Chest Radiology The Essentials 2nd Edition

Ppt Pracical Aproach To Interstitial Lung Diseases Powerpoint Presentation Id 1273898

Ppt Pracical Aproach To Interstitial Lung Diseases Powerpoint Presentation Id 1273898

A Case Of Interstitial Lung Disease And Autoimmune Thyroiditis Associated With Ustekinumab Html Acta Dermato Venereologica

A Case Of Interstitial Lung Disease And Autoimmune Thyroiditis Associated With Ustekinumab Html Acta Dermato Venereologica

Figure 1 Combined Pulmonary Fibrosis And Emphysema Syndrome A New Phenotype Within The Spectrum Of Smoking Related Interstitial Lung Disease

Figure 1 Combined Pulmonary Fibrosis And Emphysema Syndrome A New Phenotype Within The Spectrum Of Smoking Related Interstitial Lung Disease

Multimodality Imaging Of Covid 19 Pneumonia From Diagnosis To Follow Up A Comprehensive Review European Journal Of Radiology

Multimodality Imaging Of Covid 19 Pneumonia From Diagnosis To Follow Up A Comprehensive Review European Journal Of Radiology

Multimodality Imaging In Connective Tissue Disease Related Interstitial Lung Disease Clinical Radiology

Multimodality Imaging In Connective Tissue Disease Related Interstitial Lung Disease Clinical Radiology

Role Of Imaging In Progressive Fibrosing Interstitial Lung Diseases European Respiratory Society

Role Of Imaging In Progressive Fibrosing Interstitial Lung Diseases European Respiratory Society

Interstitial Lung Disease As A Late Complication Of Pulmonary Alveolar Proteinosis Sciencedirect

Interstitial Lung Disease As A Late Complication Of Pulmonary Alveolar Proteinosis Sciencedirect

Usual Interstitial Pneumonia Idiopathic Pulmonary Fibrosis Radiology Case Radiopaedia Org

Usual Interstitial Pneumonia Idiopathic Pulmonary Fibrosis Radiology Case Radiopaedia Org

Interstitial And Environmental Lung Diseases Flashcards Quizlet

Interstitial And Environmental Lung Diseases Flashcards Quizlet

Interstial Lung Disease Chronic Diffuse Interstitial Restrictive Lung

Interstial Lung Disease Chronic Diffuse Interstitial Restrictive Lung

Figure 1 From My Doctor Said I Had An Abnormal Chest X Ray Semantic Scholar

Figure 1 From My Doctor Said I Had An Abnormal Chest X Ray Semantic Scholar

Radiologia Brasileira Cartas Ao Editor

Radiologia Brasileira Cartas Ao Editor

Interstitial Lung Disease Ppt Video Online Download

Interstitial Lung Disease Ppt Video Online Download

What Every Radiologist Should Know About Idiopathic Interstitial Pneumonias Radiographics

What Every Radiologist Should Know About Idiopathic Interstitial Pneumonias Radiographics

4 Diffuse Reticular Or Reticulonodular Pattern

4 Diffuse Reticular Or Reticulonodular Pattern

Diagnosis And Treatment Of Diffuse Interstitial Lung Diseases Archivos De Bronconeumologia

Diagnosis And Treatment Of Diffuse Interstitial Lung Diseases Archivos De Bronconeumologia

Interstitial Lung Disease Basicmedical Key

Interstitial Lung Disease Basicmedical Key

Respiratory Manifestations In Patients With Inherited Metabolic Diseases European Respiratory Society

Respiratory Manifestations In Patients With Inherited Metabolic Diseases European Respiratory Society

Patterns Of Lung Disease Springerlink

Patterns Of Lung Disease Springerlink

The Radiology Assistant Lung Disease

The Radiology Assistant Lung Disease

Https Encrypted Tbn0 Gstatic Com Images Q Tbn And9gcrsl9bg18vgmskkmjdc3cdx8y4cgw1hncekjqchm2tv6wodaffw Usqp Cau

Https Encrypted Tbn0 Gstatic Com Images Q Tbn And9gcrsl9bg18vgmskkmjdc3cdx8y4cgw1hncekjqchm2tv6wodaffw Usqp Cau

Respiratory bronchiolitis-associated interstitial lung disease RB-ILD is a rare mild inflammatory pulmonary disorder that occurs almost exclusively in current or former heavy smokers usually between the third and sixth decades most likely with no gender predilection.

The interstitium is a lace-like network of tissue. This study aimed to understand better the causes of the disease in children and to provide information on the current approach to diagnosis and management of the disease. Lack of mature type 2 pneumocytes. Most common in premature infants. RB-ILD is a very rare clinicopathological entity characterized as its name suggests by respiratory bronchiolitis associated with DILD. Click to see full answer. This may be used to describe a regional pattern or a diffuse pattern throughout the lungs. The reticular pattern consists of a network of linear densities Fig. The interstitium is a lace-like network of tissue.


Dr Yair Glick and Dr Yuranga Weerakkody et al. Diagnosis is frequently delayed and prognosis is usually poor. Decreased lung volume and diffuse reticulonodular opacities. This may be used to describe a regional pattern or a diffuse pattern throughout the lungs. A reticulonodular interstitial pattern is produced by either overlap of reticular shadows or by the presence of reticular shadowing and pulmonary nodules. Interstitial lung disease includes more than 200 different conditions that cause inflammation and scarring around the balloon-like air sacs in your lungs called the alveoli. The scarring is called pulmonary fibrosisbreathing in dust or other particles in the air are responsible for some types of interstitial lung diseases.

Post a Comment for "Reticulonodular Interstitial Lung Disease"