Skip to content Skip to sidebar Skip to footer

Gastritis Typ A Lebenserwartung

Ursachen Der Chronischen Gastritis Typ B Vitanet De

Ursachen Der Chronischen Gastritis Typ B Vitanet De

Gastritis typ a lebenserwartung. A B und C. Allerdings können sich bei der Typ-C-Gastritis Magengeschwüre Ulzera bilden. Das man bei Gastritis A eine erhöhte Gefahr für Magenkrebs hat habe ich auch gelesen.

Da die Autoimmungastritis in der Regel wenige Beschwerden verursacht wird die Lebensqualität kaum eingeschränkt. Wann holt man sich eine Krankschreiben vom Arzt. Ferner kann eine Atrophie der Magenschleimhaut auftreten und im äußersten Fall kann es zu der Entstehung eines Magenkarzinoms kommen.

Bei der Typ A Magenschleimhautentzündung kommt es durch das Fehlen von Magensäure zu einem verstärktem Stimulus auf die G-Zellen die daraufhin vermehrt Gastrin ausschütten. Im Falle der Typ-A-Gastritis werden ganz bestimmte Zellen sogenannte Belegzellen gegen die Produkte der Magenschleimhaut gebildet Gastritis Typ A Lebenserwartung Hier finden Sie aktuelle Beiträge und interessante Informationen zum Thema Gastritis Typ A Lebenserwartung von erfahrenen Autoren zusammengestellt und veröffentlicht. Bei Diagnose des Diabetes.

Mache mich aber da nicht fertig. Hochgradige Zerstörung der Paritelazellen steht bei mir. Allerdings sollten sich die Betroffenen aufgrund des erhöhten Krebsrisikos regelmäßigen Kontrollen unterziehen.

Diese Form beschränkt sich auf den Korpusbereich des Magens. Bei einer Typ-A-Gastritis ist durch eine Therapie keine Heilung möglich da sich das Immunsystem aus unbekannten Gründen gegen den eigenen Körper richtet und. Eine Autoimmungastritis Typ A ist bislang nicht heilbar und erfordert eine lebenslange Zufuhr des Vitamins B12.

Die Gastritis vom Typ A gilt auch als Präkanzerose d. Negative Bilder erzeugen Negativereignisse. Antikörper gegen spezielle Zellen Parietalzellen führen zu deren Zerstörung.

Sie ist bislang nicht heilbar und erfordert eine lebenslange Vitamin B 12-Substitution. Die Typ-A-Gastritis ist eine Sonderform der Magenschleimhautentzündung bei der die Schleimhaut durch Angriff des eigenen Immunsystems zerstört wird.

Was Ist Eine Gastritis Und Wie Wird Sie Behandelt Gesundheits Frage De

Was Ist Eine Gastritis Und Wie Wird Sie Behandelt Gesundheits Frage De

Was Ist Akute Gastritis Symptome Ursachen Behandlung Krank De

Was Ist Akute Gastritis Symptome Ursachen Behandlung Krank De

Krebspatienten Leben Ohne Magen Pz Pharmazeutische Zeitung

Krebspatienten Leben Ohne Magen Pz Pharmazeutische Zeitung

Chronische Typ C Gastritis Ursachen Behandlung Cara Care

Chronische Typ C Gastritis Ursachen Behandlung Cara Care

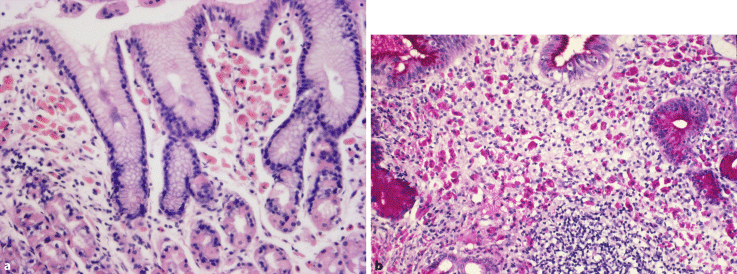
Gastritis Springerlink

Gastritis Springerlink

Gastritis Springerlink

Gastritis Springerlink

Magenkrebs Behandlung Heilungschancen Spezialisten

Magenkrebs Behandlung Heilungschancen Spezialisten

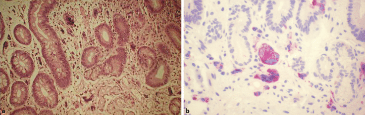
Gastritis Springerlink

Gastritis Springerlink

Wisephants On Twitter 3 Typen Der Gastritis Typ A Autoimmune Ak Gegen Paritealzellen Typ B Bakteriell Helicobacter Pylori Typ C Chemisch Https T Co Iidgzikbvf

Wisephants On Twitter 3 Typen Der Gastritis Typ A Autoimmune Ak Gegen Paritealzellen Typ B Bakteriell Helicobacter Pylori Typ C Chemisch Https T Co Iidgzikbvf

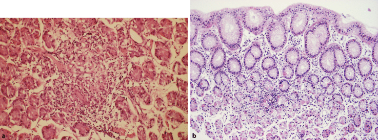
Gastritis Springerlink

Gastritis Springerlink

Gastritis Wikipedia

Gastritis Wikipedia

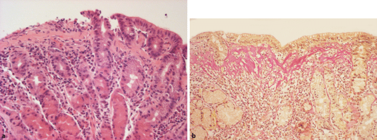
Gastritis Springerlink

Gastritis Springerlink

Gastritis Und Oberbauchschmerzen Gastroenterologie Universimed Medizin Im Fokus

Gastritis Und Oberbauchschmerzen Gastroenterologie Universimed Medizin Im Fokus

Magenkrebs Focus Arztsuche

Magenkrebs Focus Arztsuche

Gastritis Chronische Med Kom

Gastritis Chronische Med Kom

Ipex Syndrom Wikipedia

Ipex Syndrom Wikipedia

European Journal Of Medical Research Deutsche Aids

European Journal Of Medical Research Deutsche Aids

Pdf The Presence Of Helicobacter Pylori In The Liver Depends On The Th1 Th17 And Treg Cytokine Profile Of The Patient

Pdf The Presence Of Helicobacter Pylori In The Liver Depends On The Th1 Th17 And Treg Cytokine Profile Of The Patient

Pdf The Presence Of Helicobacter Pylori In The Liver Depends On The Th1 Th17 And Treg Cytokine Profile Of The Patient

Pdf The Presence Of Helicobacter Pylori In The Liver Depends On The Th1 Th17 And Treg Cytokine Profile Of The Patient

So Fies Ist Die Chronische Gastritis

So Fies Ist Die Chronische Gastritis

2

2

Chronische Gastritis

Chronische Gastritis

Pdf A Vitamin Nutriceutical Formulation Improves Memory And Cognitive Performance In Community Dwelling Adults Without Dementia

Pdf A Vitamin Nutriceutical Formulation Improves Memory And Cognitive Performance In Community Dwelling Adults Without Dementia

Herold Innere Medizin 2008

Herold Innere Medizin 2008

Chronische Gastritis Formen Diagnose Behandlung

Chronische Gastritis Formen Diagnose Behandlung

Magenschleimhautentzundung Gastritis Health Rise

Magenschleimhautentzundung Gastritis Health Rise

Barrett Osophagus Barrett Syndrom Symptome Und Behandlung

Barrett Osophagus Barrett Syndrom Symptome Und Behandlung

Gastritis Springerlink

Gastritis Springerlink

Mukoviszidose Wikipedia

Mukoviszidose Wikipedia

Herold Innere Medizin 2008

Herold Innere Medizin 2008

Pdf The Presence Of Helicobacter Pylori In The Liver Depends On The Th1 Th17 And Treg Cytokine Profile Of The Patient

Pdf The Presence Of Helicobacter Pylori In The Liver Depends On The Th1 Th17 And Treg Cytokine Profile Of The Patient

2

2

Magenschleimhautentzundung Gastritis Dauer Behandlung

Magenschleimhautentzundung Gastritis Dauer Behandlung

Alter Muskulatur Und Mikronahrstoffe Rosenfluh Ch

Alter Muskulatur Und Mikronahrstoffe Rosenfluh Ch

Magenschleimhautentzundung Gastritis Health Rise

Magenschleimhautentzundung Gastritis Health Rise

Magenschleimhautentzundung Gastritis Symptome Ursachen Netdoktor

Magenschleimhautentzundung Gastritis Symptome Ursachen Netdoktor

Gastritis Und Oberbauchschmerzen Gastroenterologie Universimed Medizin Im Fokus

Gastritis Und Oberbauchschmerzen Gastroenterologie Universimed Medizin Im Fokus

Magenkrebs Behandlung Heilungschancen Spezialisten

Magenkrebs Behandlung Heilungschancen Spezialisten

European Journal Of Medical Research Deutsche Aids

European Journal Of Medical Research Deutsche Aids

Pdf A Vitamin Nutriceutical Formulation Improves Memory And Cognitive Performance In Community Dwelling Adults Without Dementia

Pdf A Vitamin Nutriceutical Formulation Improves Memory And Cognitive Performance In Community Dwelling Adults Without Dementia

Physiologie Und Lebensalter

Physiologie Und Lebensalter

Magenschleimhautentzundung Gastritis Health Rise

Magenschleimhautentzundung Gastritis Health Rise

Gastritis Ursachen Behandlung Ernahrung

Gastritis Ursachen Behandlung Ernahrung

Gastroenterologie Interdisziplinar Abstract Europe Pmc

Gastroenterologie Interdisziplinar Abstract Europe Pmc

Https Www Chirurgie Innsbruck At Uploads Textbuch 20chirurgie 201 12 Pdf

Https Www Chirurgie Innsbruck At Uploads Textbuch 20chirurgie 201 12 Pdf

Diabetes Typ 1 Erkennen Und Behandeln Ndr De Ratgeber Gesundheit

Diabetes Typ 1 Erkennen Und Behandeln Ndr De Ratgeber Gesundheit

Verlag Gesundheits Und Krankheitslehre 2 Auflage German Retail Ebook Pdf Writers K6nqzw63q1nw

Verlag Gesundheits Und Krankheitslehre 2 Auflage German Retail Ebook Pdf Writers K6nqzw63q1nw

Die 50 Wichtigsten Falle Chirurgie Epub Pdf Txt

Die 50 Wichtigsten Falle Chirurgie Epub Pdf Txt

Chronische Gastritis Ursachen Symptome Behandlung Netdoktor At

Chronische Gastritis Ursachen Symptome Behandlung Netdoktor At

Die chronische Gastritis Typ A Autoimmungastritis ist selten sie macht etwa fünf Prozent aller Fälle chronischer Magenschleimhautentzündung aus.

PatientInnen mit einer Typ-A-Gastritis sollten sich endoskopisch regelmäßig in Absprache mit ihrem behandelnden Arztihrer behandelnden Ärztin kontrollieren lassen. Die autoimmune Gastritis Typ A führt auch zu einer starken Atrophie der Schleimhaut und sogar zu einem drei- bis sechsfach erhöhtem Risiko an Magenkrebs zu erkranken. Ursache ist ein Autoimmunprozess bei dem Antikörper gegen. Die Typ-A-Gastritis ist eine Sonderform der Magenschleimhautentzündung bei der die Schleimhaut durch Angriff des eigenen Immunsystems zerstört wird. A B und C. PatientInnen mit einer Typ-A-Gastritis sollten sich endoskopisch regelmäßig in Absprache mit ihrem behandelnden Arztihrer behandelnden Ärztin kontrollieren lassen. Bei der Typ A Magenschleimhautentzündung kommt es durch das Fehlen von Magensäure zu einem verstärktem Stimulus auf die G-Zellen die daraufhin vermehrt Gastrin ausschütten. Negative Bilder erzeugen Negativereignisse. Sie wird als Typ-A-Gastritis klassifiziert.


Die autoimmune Gastritis Typ A führt auch zu einer starken Atrophie der Schleimhaut und sogar zu einem drei- bis sechsfach erhöhtem Risiko an Magenkrebs zu erkranken. Das man bei Gastritis A eine erhöhte Gefahr für Magenkrebs hat habe ich auch gelesen. Antikörper gegen spezielle Zellen Parietalzellen führen zu deren Zerstörung. Da die Autoimmungastritis in der Regel wenige Beschwerden verursacht wird die Lebensqualität kaum eingeschränkt. Die Typ A-Gastritis kann durch den Untergang der Belegzellen zu einer perniziösen Anämie führen. Allerdings können sich bei der Typ-C-Gastritis Magengeschwüre Ulzera bilden. A B und C.

Post a Comment for "Gastritis Typ A Lebenserwartung"